• vårblommans

    Jag gissar kön från era tidiga ultraljud!

    Jag har nu gjort sååå mycket research om nub-theory och skull-theory och jag tycker det är så himla intressant och kul! Roligare blev det när jag gissade rätt kön genom nub-theory från min kompis ultraljud. 

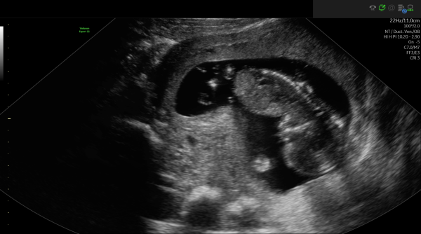
    Nu vill jag gissa kön från era ultraljudsbilder ni fått på era KUB-ultraljud (eller ultraljud runt 12-13 veckor). 
    Så tydliga bilder som möjligt, helst i profil!

    Det är endast gissningar och jag utgår ifrån det jag lärt mig helt enkelt. Ni får också vara med och gissa, och senare skulle det vara kul om könet avslöjas så man får se om man gissade rätt!  

    Kör hårt!!  

    TRÅDSTARTARENS TILLÄGGSKOMMENTAR 2013-11-19 17:00
    Med skull-theory spelar det ingen roll vilken vecka du är i, så då kan jag gissa vilken vecka som helst!

  • Svar på tråden Jag gissar kön från era tidiga ultraljud!
  • Anonym (Hanna)
    Tretton12 skrev 2025-01-02 21:55:50 följande:

    Någon som vågar gissa? V 11+4









     


    Skulle gissa på kille 💙 

  • Anonym (Hdjdukeowo)




    Vad tror duc pojke eller flicka? vecka 15+0👏
  • Anonym (Gravid)


    Någon som kan något om nub och kan gissa? 
  • Anonym (Hanna)
    Anonym (Gravid) skrev 2025-01-08 13:21:50 följande:


    Någon som kan något om nub och kan gissa? 

     


    Jag är ganska säker på tjej. ???? 

  • Anonym (Gravid)

    Okej tack för svar :)! 


    någon mer som gissar ? Eller ser vad man ska kolla på?

  • Friand

    Hej! Kan ni gissa på min? :) Tagen v. 11+3 så kanske lite tidigt men vill ändå höra gissningar.



  • noorah
    noorah skrev 2025-05-21 08:39:31 följande:
    gammal tråd men någon som vill gissa?
    Kan tillägga att bilderna är från kub vecka 13+1
  • kassandraemilia

    Någon som vill gissa på min?
    Om det är nubben jag ser på första bilden så hade jag själv gissat en flicka. Så spännande att höra vad ni tror!



  • kassandraemilia
    kassandraemilia skrev 2025-05-21 14:59:36 följande:

    Någon som vill gissa på min?
    Om det är nubben jag ser på första bilden så hade jag själv gissat en flicka. Så spännande att höra vad ni tror!


    Menar nubben på andra bilden!
  • G2016

    Det skulle vara roligt att veta vad kubteorin säger om kön. V 13+1  






Svar på tråden Jag gissar kön från era tidiga ultraljud!